GUM Contouring
Home | Gum Contouring
Gum Contouring
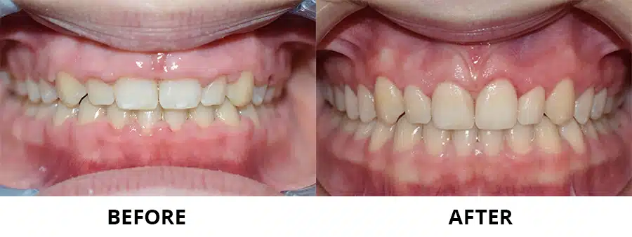
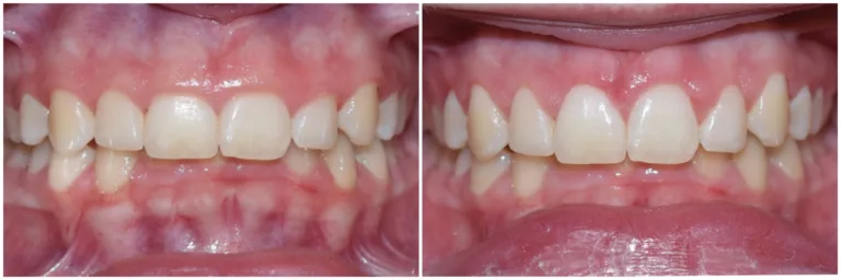
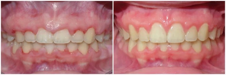
Gingival (Gum) contouring is a procedure where your gum lines (margins) are adjusted against the tooth. It may be that the tissues are interfering with restorative procedures or causing aesthetic concerns. When they do, we can perform a treatment that creates a new margin on the tooth, without detracting from the health of your smile.
Aesthetic Gum Contouring
Do your teeth look particularly short? Have you ever thought that you had a “gummy” smile, where more gingival shows than teeth? Is one tooth lopsided compared to its neighbor, simple because the gums are uneven?
If so, then adjusting the shape and length of your gums with contouring can offer significant results. When you expose more of your white tooth enamel, it helps your smile look fuller, brighter, and healthier. It only takes one appointment!
Laser Contouring
In years past, gum contouring had to be performed using physically invasive, surgical techniques. Fortunately, that’s not the case anymore. Our Office incorporates gentle soft-tissue laser technology which allows us to provide minimally invasive treatments, including gingival contouring.
The best part is that when your orthodontist performs gum contouring with a laser, the procedure is fast and practically pain free. A little numbing gel may be all that you need. It’s rare that the area needs to be numbed with local anesthetic. But if it does, the numbing effects will gradually go away within a few hours! If for any reason you experience minor irritation, a warm saltwater rinse or ibuprofen is usually all that you need.
Additionally, using lasers for gum contouring means there’s no need for surgical techniques, sutures, or bandages. The laser gently cauterizes the tissue, so that bleeding and swelling are practically non-existent. So, you’ll be back to your normal diet and routine in no time.
Is Gum Contouring Right for Me?
Contact our office in Bountiful, UT for a complimentary exam to learn more about gingival contouring, treating gummy smiles, crown lengthening, and more. We’ll be able to fully evaluate your individual situation to determine the best course of action for your smile!
Technique involved
The minor, in-office gum contouring procedure usually requires only one visit that lasts about an hour. After a topical numbing gel is applied to the gums, a soft tissue laser is used to trim away, re-contour and seal the excess gum tissue. There is only minor discomfort and no bleeding or stitches are involved.
Benefits:
- Gingival sculpting is fast, safe and virtually painless. Patients can continue their regular activities immediately following treatment, and the results are permanent.
- The laser gingival sculpting procedure, which seals and sterilizes the treatment area, minimizes inflammation, significantly reduces any chances of infection, and promotes quick healing. Lasers also offer better precision, thus protecting the surrounding tissue from damage during the procedure.
- Gingival sculpting can have social and psychological benefits, such as enhancing your looks and self-confidence. It can thus encourage you to be more socially active and willing to smile more. When you feel happier, you also seem more approachable and friendlier.
Schedule a Gingival Contouring Appointment
If you feel your gums are causing you to feel self-conscious about your smile, call our office to discuss aesthetic gingival contouring! We want to help you obtain a smile that you are proud to share. Schedule a consultation with our Bountiful or Farmington orthodontic office today, 801-292-1222.
